为响应卫健委号召,发挥我院三级专科优势,让优质医疗服务惠及更多居民,真正把健康服务送到群众家门口 ...[详情]
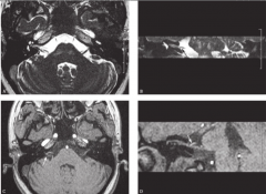
前庭阵发症(vestibularparoxysmia,VP)是一种以反复的、短暂的、旋转或非旋转性的眩晕发作、伴或不伴听力及植 ...[详情]
鼻腔冲洗(Nasalirrigation)是治疗鼻腔、鼻窦疾病的一种常用方法,具有良好的疗效和耐受性。随着鼻内镜的普及 ...[详情]
最近连续加班后王先生突然发现右耳有耳鸣和耳闷感,整个人感觉天旋地转,并伴有恶心呕吐,他以为是疲劳 ...[详情]